【卓越医疗】郴州市第三人民医院肿瘤科助力晚期癌症患者重获新生
2025-09-08 11:10党政办
“是你们给我重新站起来的机会!”7月29日,64岁的刘某大步走进郴州市第三人民医院肿瘤科住院部,紧紧握住主管医生唐井胜的手。谁能想到,一个多月前,他还是坐着轮椅入院、左侧肢体完全动不了的晚期癌症患者?

危急时刻
故事要从6月下旬讲起。家住临武县的刘某被头痛和头晕折磨得坐立难安,左侧肢体完全无力,只能依靠轮椅行动。到医院检查后,结果令全家心急如焚:晚期肺癌已转移到脑部,右侧额叶长有转移瘤,并引发了严重脑水肿,甚至形成了脑疝——这可是随时危及生命的紧急状况!更为棘手的是,他本身还患有高血压、糖尿病、冠心病,身体状况并不理想。

患者入院时
“不能等!”肿瘤科团队迅速启动多学科协作。考虑到患者和家属不愿接受手术,医生们果断决定:先采取救急的策略!6月26日,针对脑转移瘤的精准放疗立即展开。

精准治疗
精准放疗是刘某治疗中的关键一环。医疗团队运用先进的放疗技术,精准定位脑转移瘤,及时调整治疗方案,确保治疗的安全性和有效性。与此同时,配套治疗也在同步进行。脱水降颅压、预防癫痫、控制血糖血压等措施全面实施,多学科团队各司其职,紧密协作。肿瘤科、神经科、内分泌科等专家共同会诊,制定个性化治疗方案。
在治疗全面展开的同时,护理团队也毫不松懈。老人完全瘫痪在床,护士们24小时密切监测他的血压和神经反应,使用专业气垫床细心护理皮肤,防止褥疮的发生;每天帮助他活动肢体,避免肌肉萎缩和关节僵硬;还特意为家属安排了方便陪护的区域。同时,脱水降颅压、预防癫痫、控制血糖血压等一系列配套治疗也在同步跟进。

奇迹发生
奇迹悄悄发生。到7月9日放疗结束时,刘某的头痛减轻了,左边身子居然能稍微动一动了!
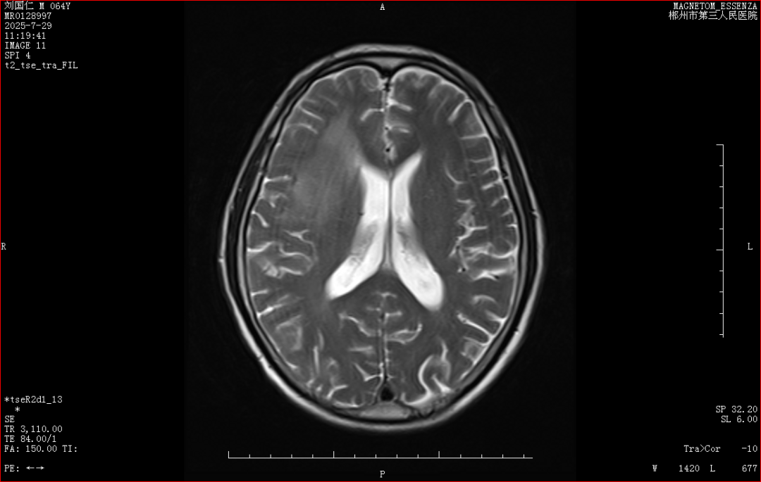
再到7月29日复查,更是让人惊喜:他不光自己走进诊室,左边肢体肌力从几乎瘫痪的1级,恢复到了正常人的5级!片子里,脑转移瘤明显缩小,水肿退了,脑疝也没了。随后,胡果主任团队又制定了后续治疗方案,8月1日,完成化疗和免疫治疗的刘某,带着笑容出院了。

6-23治疗前
7-29治疗后

患者影像资料对比

医者仁心
“这不是某一项技术的功劳。”肿瘤科主任胡果感慨道,精准放疗及时解除了脑疝危机,护士们的细致护理避免了并发症,多学科团队的默契配合更是关键。“面对晚期肿瘤,只要我们和患者一起坚持,有时真能创造奇迹。”

患者出院时

END
素材来源|唐井胜
文章编辑|高郁婷
一审|陈平平 二审|陈荣梅 终审|刘德华



















