【卓越医疗】解开“心跳枷锁” 双源CT让它无处遁形
2026-01-19 09:00党政办
你是不是也有过这样的经历?明明正值青壮年,却时不时感到胸闷、心前区不适,甚至短暂心悸,但做了一圈检查——心电图、心脏超声,甚至运动平板试验,结果却都显示“未见异常”。
这时候,别轻易归咎于“压力大”或“太累了”,有一种隐匿的先天结构异常,很可能就是那个被忽略的“真凶”:心肌桥。
简单来说,它如同一道藏在心脏里的“枷锁”,在每一次心跳时悄然挤压血管,从而导致心脏短暂缺血,引发胸闷。对于“心肌桥”,我院医学影像中心双源CT,正是解开这道枷锁、看清真相的“金钥匙”。

近半年来,体育特长生小陈在高强度训练或比赛时,常出现胸闷、心悸,甚至短暂的压迫性疼痛,休息后可缓解。然而经过检查未见异常,甚至被怀疑为心脏神经官能症。
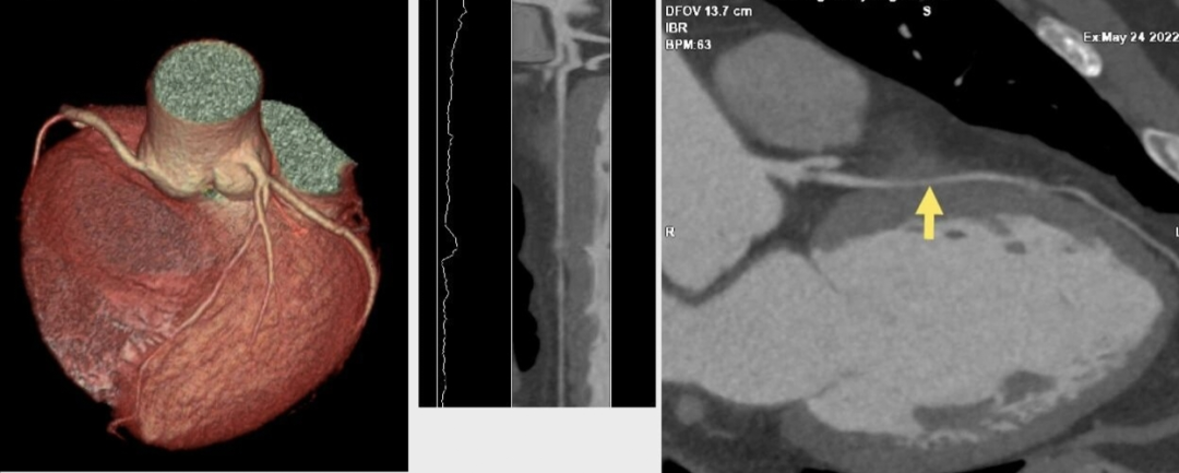
直到他接受我院双源CT冠状动脉CTA检查,真相才水落石出。图像清晰显示,他的左前降支中段(一支关键的心脏供血动脉)有一段走行于心肌纤维之下。在心脏舒张期,这段血管看似正常;但在心脏收缩期,这段血管被上方的心肌明显挤压、变窄——典型的“心肌桥”。
正是这个藏在心肌里的“桥”,在运动时随着心跳加剧而强力收缩,压迫冠状动脉,导致心肌暂时性缺血,引发胸闷胸痛。明确诊断后,医生为他制定了针对性的药物治疗和运动方案,症状得到有效控制,避免了病情的进一步发展与误判。


(↑ 冠状动脉CTA影像)
我院医学影像中心医生提醒,如果您或身边人常出现不明原因胸闷,尤其在运动、情绪激动时加重,休息后缓解,建议及时排查心肌桥的可能。早发现、早诊断,是避免症状持续影响生活质量的关键。






